Clínica Especializada em Implantes Dentários em Coimbra

Clínica Especializada em Implantes Dentários em Coimbra

Unidades: Coimbra, Lousã e Poiares

Planeamento digital 3D do seu sorriso

Tradição e modernidade na medicina dentária

Assista às Transformações

NOSSA QUALIDADE

Números que comprovam nossa qualidade

3 Sedes

40 Anos

19 Mil

1.2 Mil

3
Sedes

Coimbra, Lousã e Poiares

40
Anos

de Mercado

19
Mil

Pacientes atendidos

1.2
Mil

Cirurgias de implantes realizadas

Coimbra, Lousã e Poiares

de Mercado

Pacientes atendidos

Cirurgias de implantes realizadas

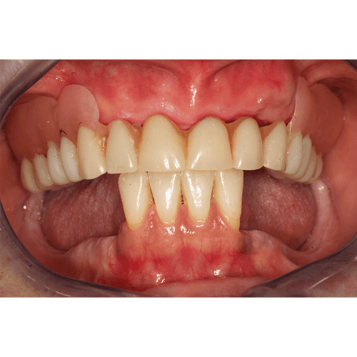
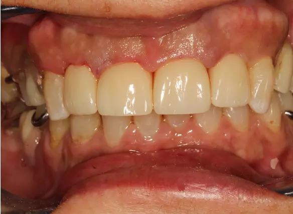
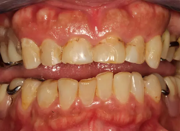
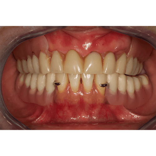
Transformações - Antes e Depois

ATENÇÃO: Deslize o Quadrado Branco pra Direita e pra Esquerda
para revelar o Antes e Depois Dessas Incríveis Transformações

Diferenciais

Dentes novos de alta durabilidade

Materiais e resultados validados cientificamente

Análise integrada da oclusão dentária

Completo e avançado estudo digital

Estética avançada do sorriso

Rápida integração ao osso

Selo de Qualidade Optidente

Sorria!! Sinta como você ficará com o seu nosso sorriso connosco!

Fale connosco

Como você deseja restaurar o seu sorriso?

Implantes Unitários

Implantes Unitários

Quando o paciente perdeu 1 ou 2 dentes seguidos em qualquer região, seja no fundo, na lateral ou na frente, a melhor opção pode ser o implante unitário.

Protese Sobre Implante / Protocolo

Protese Sobre Implante / Protocolo

Quando o paciente perdeu todos os dentes de uma arcada e quer deixar de usar a chamada “dentadura”, a melhor opção pode ser a prótese dentária sobre implante ou protocolo. Neste caso são feitos de 4 a 8 implantes que irão servir para fixar esta prótese, proporcionando segurança para sorrir. Esta prótese de dente não corre o risco de cair e quando realizada de forma planejada e com material de primeira qualidade fica muito similar aos dentes naturais.

Implante / Prótese Dentária Fixa

Implante / Prótese Dentária Fixa

Quando o paciente tem falta de vários dentes seguidos, mas apresenta algum defeito ósseo que impossibilita a instalação de implantes unitários, o mais recomendado pode ser usar uma prótese dentária fixa. 

Este tipo de prótese fixa consiste em usar os dentes do paciente como pilares para cimentar as futuras coroas

Sorria!! Sinta como você ficará com o seu nosso sorriso connosco!

Fale connosco

Depoimentos

Na Optidente, cada paciente tem uma história e uma maneira especial de sorrir. Assista abaixo os depoimentos em vídeo sobre sorrisos transformados e pessoas felizes.

Joaquina Francisca

Nesse Vídeo ….

Francisca Joaquina

Essa mãe de família…

Sorria!! Sinta como você ficará com o seu nosso sorriso connosco!

Fale connosco

Perguntas Frequentes

Não. O implante não é rejeitado porque não é um órgão transplantado. Embora as falhas não sejam comuns, o que pode acontecer é insucesso do implante, ou seja, falha na osseointegração junto aos ossos maxilares

Não. Normalmente é confecionado um provisório e instalado imediatamente após a cirurgia, permanecendo este até a instalação da coroa definitiva, quando houver acontecido a ósseo-integração.

Sim. O paciente fumante tem uma chance de perda do implante dentário de até 30% a mais do que o paciente não fumante. A anamnese feita durante a avaliação nos ajuda a determinar o melhor a se fazer por este paciente.

É necessário o paciente fazer uma avaliação clínica, radiográfica e tomográfica para se definir valores e necessidades de enxerto. Somente assim será possível determinar um valor final para o tratamento deste paciente.

Sim. O paciente passará por uma análise do estado de saúde e avaliação clínica. Caso o paciente apresente alguma enfermidade, esta será controlada para posterior instalação dos implantes.

Não. A carga imediata só é confirmada na hora da cirurgia. Consideramos carga imediata o implante que tem um bom travamento ao osso no ato operatório. O contrário disto (pouco travamento) é chamado de carga tardia, necessitando de aguardar um período de alguns meses para instalação da coroa definitiva.

Nossa Estrutura

Temos uma estrutura preparada a lhe trazer conforto, paz e entretenimento durante o tratamento.

 

Sorria!! Sinta como você ficará com o seu nosso sorriso connosco!

Fale connosco

Agende Agora Sua Transformação com a Equipa Optidente

Agende Agora Sua Transformação com a Equipa Optidente

Preencha o formulário de contacto e nos ajude a entender o que você gostava de mudar no seu sorriso.

Marcação de Consulta

Preencha os Campos Para
Recuperar o Seu Sorriso

Equipa Optidente

Dentistas com Ampla Experiência em Odontologia Estética

Dr. Laurindo Clemente

OMD -

Dr. Luís Clemente

OMD -

Como Funciona

Veja abaixo como funcionam as 6 etapas do planeamento do seu novo sorriso

IMPORTANTE: Seu primeiro contato será SEMPRE feito com os Directores Clínicos
Dr. Laurindo Clemente e Dr. Luis Clementes

01 - Recepção

Todas as nossas avaliações são feitas com horário marcado e tem a duração de 1 hora

02 - Anamnese

Através de um questionário identificamos a condição atual de saúde do paciente e o motivo da consulta (queixa principal)

03 - Raio X Panorâmico Digital

Através de um questionário identificamos a condição atual de saúde do paciente e o motivo da consulta (queixa principal)

04 - Fotos e Filmagem

Através de um protocolo de fotos conseguimos diagnosticar e demonstrar ao paciente sua real situação

05 - Avaliação

Será realizada uma avaliação facial (proporções dentárias, análise facial e simetria) e avaliação clínica minuciosa, dente a dente e dos tecidos moles

06 - Planeamento Digital

Através de um software e um protocolo fotográfico será feito um projeto em 3D e uma simulação do futuro sorriso do paciente.

Sorria!! Sinta como você ficará com o seu nosso sorriso connosco!

Fale connosco

Quem Somos?

Quem Somos?

A Optidente é uma rede de Clínicas moderna, familiar e atenciosa, localizada na zona centro de Coimbra e arredores. Temos proporcionado medicina dentária de alta qualidade, constituída por um corpo clínico de excelência. Colocámos à disposição dos nossos profissionais, tecnologia avançada para melhor servir os pacientes e toda a comunidade local.

Somos apaixonados pelo trabalho bem feito. Queremos ir sempre além de um sorriso bonito. A nossa prioridade é a saúde, o funcionamento correto de todo o sistema estomatognático e a autoestima de quem nos procura. Tratamos do seu sorriso desde 1980.

Unidades

Estamos pertinho de você! Confira nossos
endereços e horário de funcionamento:

COIMBRA

R. Câmara Pestana 3, 3030-163 Coimbra

LOUSÃ

Av. São Silvestre 35, 3200-202 Lousã

VILA NOVA POIARES

Entroncamento de Poiares Edif. Palmeiras, Loja 3, 3350-087

Horário de Funcionamento

Seg. a Sex. 08:00 as 18:00, Sáb. 08:00 as 12:00

Sorria!! Sinta como você ficará com o seu nosso sorriso connosco!

Fale connosco

*dependendo da avaliação e do planejamento de cada caso